(C) University of Oxford, 2007
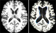
(左)ビタミンB12が多い人の脳スキャン
(右)ビタミンB12が少ない人の脳スキャン
肉や魚,牛乳などに含まれるビタミンB12には,老化による脳の萎縮を防ぐ効果があるかもしれない。こんな研究結果が明らかになった。61~87歳の100人以上を対象に,血液中にあるビタミンB12の量を測定し,脳スキャンと記憶テストを実施したところ,ビタミンB12が多かった人は少なかった人に比べて6倍も脳が萎縮しにくかった。この結果によると,食事でビタミンB12を多く摂ることにより,老化による記憶力の減退を防ぐことができる可能性がある。ただし,ビタミン剤に同様の効果があるかは明らかではない。(吉田素子)
Vitamin B12, a nutrient(1) found in meat, fish and milk, may protect against brain(2) volume loss(3) in older people, according to(4) a University of Oxford study.
For the study, 107 people between the ages of 61 and 87 underwent(5) brain scans(6), memory testing(7) and physical exams(8). The researchers from the Oxford Project to Investigate Memory(9) and Ageing(10) (OPTIMA) also collected blood samples to check vitamin B12 levels. Brain scans and memory tests were also performed again five years later.
The study, published in the journal Neurology(11), found that people who had higher vitamin B12 levels were six times less likely to experience brain shrinkage(12) compared with those who had lower levels of the vitamin in their blood. None of the people in the study had vitamin B12 deficiency(13).
‘Many factors that affect brain health are thought to be out of our control, but this study suggests that simply adjusting our diets to consume(14) more vitamin B12 through eating meat, fish, fortified cereals(15) or milk may be something we can easily adjust to prevent brain shrinkage and so perhaps save our memory,’ says Anna Vogiatzoglou of the Department of Physiology(16), Anatomy(17) and Genetics(18) at Oxford University.
‘Research shows that vitamin B12 deficiency is a public health problem(19), especially among the elderly, so more vitamin B12 intake(20) could help reverse(21) this problem. Without carrying out(22) a clinical trial, we acknowledge(23) that it is still not known whether B12 supplementation(24) would actually make a difference in elderly persons at risk for(25) brain shrinkage.’
(1) 栄養素 (2) 脳 (3) 容積減少 (4) ~によると (5) ~を受けた (6) 脳スキャン
(7) 記憶テスト (8) 身体検査 (9) 記憶力 (10) 老化 (11) 神経学(“Neurology”は雑誌名)
(12) 萎縮 (13) 欠乏 (14) ~を摂取する (15) 強化シリアル (16) 生理学 (17) 解剖学
(18) 遺伝学 (19) 公衆衛生問題 (20) 摂取量 (21) 覆す(くい止める) (22) 実施すること
(23) 認識する (24) 補給 (25) ~の危険性がある

